欢迎访问乐鱼电竞(中国)官方网站!

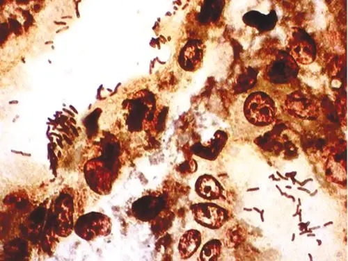
德氏乳杆菌革兰氏染色

医学实验主要包括分子生物学、细胞生物学、病理学、免疫学的实验;SCI论文主要包括论文翻译、母语润色改写;专利主要包括发明专利、实用新型专利、外观设计专利的申请;专著主要包括单篇学术论文、系列学术论文和学术专著的出版。

德氏乳杆菌革兰氏染色 当前位置:首页 > 乐鱼(中国)产品 > 产品服务 > 瑞果产品展示 > 细菌
热门推荐
>
<